Estresse metabólico pode aumentar a produção de insulina no sangue
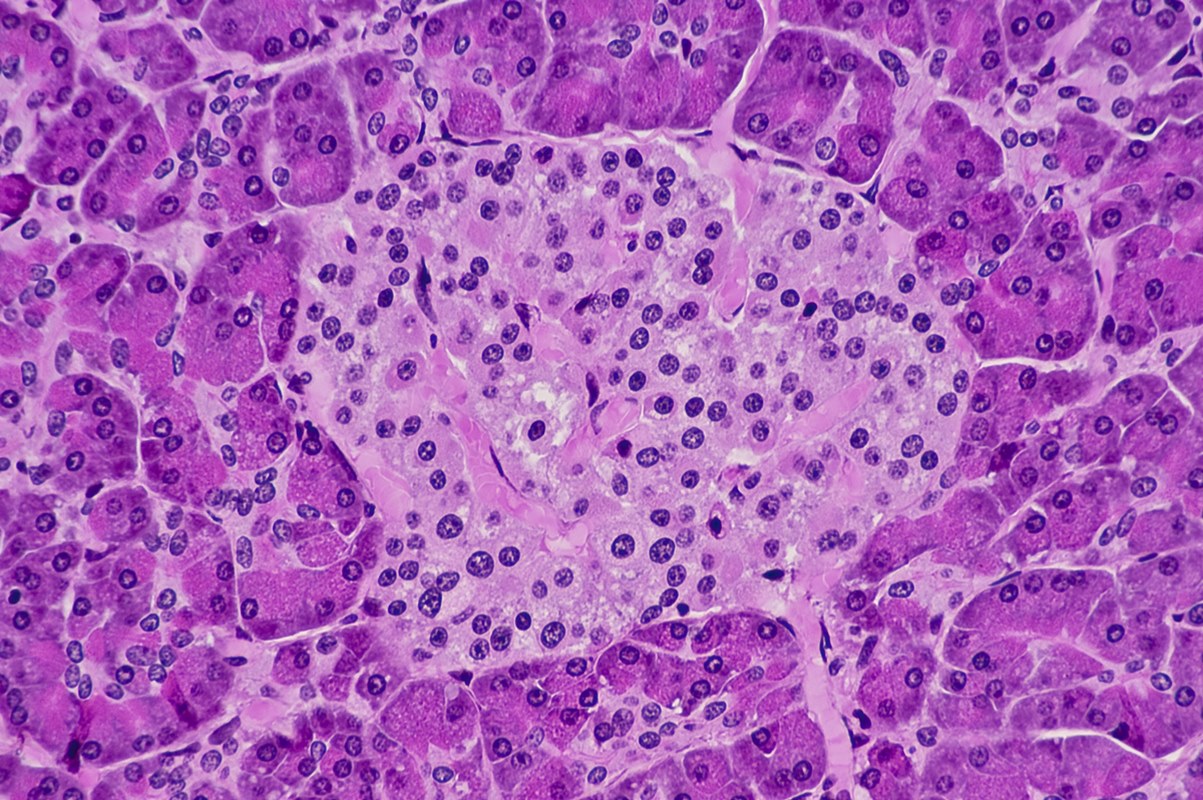
Pesquisadores da Universidade Metropolitana de Osaka, no Japão, identificaram que o gene REDD2, ativado por estresse metabólico, prejudica as células β (beta) do pâncreas responsáveis pelo controle de açúcar no sangue e pela produção de insulina.
O estudo foi publicado em maio no Journal of Biological Chemistry. A descoberta pode ser um grande passo para evitar ou intervir no surgimento da diabetes tipo 2 pois mostra que, mesmo que vários outros fatores possam desencadear a doença, uma dieta desequilibrada pode ter papel direto no desenvolvimento da condição.
“A diabetes tipo 2 ocorre quando as células β pancreáticas, que secretam insulina para regular a glicose no sangue, ficam prejudicadas devido ao estresse prolongado causado por maus hábitos alimentares, uma condição conhecida como estresse oxidativo”, disse Naoki Harada, professor associado da Escola de Pós-Graduação em Agricultura da Universidade Metropolitana de Osaka e principal autor do estudo, em entrevista ao site da universidade.
Diabetes tipo 2
- A diabetes tipo 2 é uma doença crônica marcada pela resistência à insulina e pelo aumento dos níveis de glicose no sangue.
- Mais comum em adultos, a condição está frequentemente relacionada à obesidade e ao envelhecimento.
- Entre os principais sintomas estão sede excessiva, urina frequente, fadiga, visão embaçada, feridas de cicatrização lenta, fome constante e perda de peso sem causa aparente.
- O tratamento envolve medicamentos para controlar a glicemia e, em alguns casos, aplicação de insulina.
- Mudanças no estilo de vida, como perda de peso, alimentação equilibrada e prática regular de exercícios, são essenciais para o controle da doença.
Em experimentos com culturas celulares e camundongos, foi possível observar que os altos níveis de glicose, ácidos graxos e substância para induzir diabetes (STZ) estimularam o REDD2, levando à morte celular e inibição da via mTORC1 – complexo proteico responsável pela regulação do crescimento das células.
Camundongos sem REDD2, mesmo em dieta rica em gordura ou exposição a agentes que induzem a diabetes, mantiveram mais células saudáveis, produzindo mais insulina e exibindo um melhor controle da glicose.
Leia também
-
Cientistas revelam as melhores dietas para um envelhecimento saudável
-
Saúde, humor e peso são os principais motivadores a dietas restritivas
-
Por que agora é indicado rastrear diabetes tipo 2 a partir dos 35?
-
Broto de brócolis ajuda a prevenir diabetes tipo 2, diz estudo
A análise de ilhotas pancreáticas humanas reforçou esses achados: níveis elevados de REDD2 estão associados à redução na massa das células β e diminuição da secreção de insulina.
A descoberta sugere que o REDD2 pode ser usado como marcador diagnóstico do início do diabetes tipo 2 e abre caminho para o desenvolvimento de novos fármacos que atuem nesse gene.
Melhores dietas para diabetes
Dieta Mediterrânea – Baseada em alimentos frescos, escolhidos conforme a estação do ano, e naturais, é interessante por permitir consumo moderado de vinho, leite e queijo. O cardápio é tradicional na Itália, Grécia e Espanha, usa bastante peixe e azeite, e, desde 2010, é considerado patrimônio imaterial da humanidade. Além de ajudar a perder peso, diminui o risco de doenças cardiovasculares
2 de 10
Dieta Dash – A sigla significa, em português, Métodos para Combater a Hipertensão e foca não só em diminuir a quantidade de sódio ingerida, mas em alimentos ricos em proteínas, fibras, potássio, magnésio e cálcio. A dieta tem 20 anos e é reconhecida por várias publicações científicas pela eficiência em reduzir a pressão arterial e controlar o peso
iStock3 de 10
Dieta Flexitariana – Sugere uma redução de até 70% do consumo de carne, substituindo a proteína animal por vegetais, frutas, sementes, castanhas e cereais. Com o regime, o organismo ficaria mais bem nutrido e funcionaria melhor. É recomendado começar trocando a carne vermelha por frango ou peixe e procurar um nutricionista para acompanhar a necessidade de suplementação de vitamina B12, encontrada em alimentos de origem animal
Dose Juice/Unsplash4 de 10
Dieta Mayo Clinic – Publicada em 2017 pelos médicos da Mayo Clinic, um dos hospitais mais reconhecidos dos Estados Unidos, o programa é dividido em duas partes: perca e viva. Na primeira etapa, 15 hábitos são revistos para garantir que o paciente não desista e frutas e vegetais são liberados. Em seguida, aprende-se quantas calorias devem ser ingeridas e onde encontrá-las. Nenhum grupo alimentar está eliminado e tudo funciona com equilíbrio
Rui Silvestre/Unsplash5 de 10
Dieta Vegana A dieta vegana retira qualquer alimento de origem animal do cardápio: nada de manteiga, ovos ou whey protein. Aqui, a alimentação é composta basicamente por frutas, vegetais, folhagens, grãos, sementes, nozes e legumes. Para quem quer perder peso, a dica é aproveitar que a dieta já é considerada mais saudável por evitar gorduras animais e ter menos calorias, e controlar as quantidades de cada refeição
Anna Pelzer/Unsplash6 de 10
Dieta Jenny Craig A dieta é, na verdade, um programa de receitas e algumas refeições prontas, que enfatiza a alimentação saudável e mudança de comportamento. Há acompanhamento de consultores durante todo o processo para garantir que o paciente esteja motivado e informado sobre quantidades e as melhores escolhas. Há um cardápio exclusivo para pessoas com diabetes tipo 2 e um serviço extra de análise de marcadores no DNA para personalizar o tratamento
iStock7 de 10
Dieta Ornish Criada em 1977 por um professor de medicina da Universidade da Califórnia, nos Estados Unidos, o cardápio tem poucas gorduras, carboidratos refinados e proteínas animais. Os alimentos são categorizados em cinco grupos entre o mais saudável e o menos saudável, e é permitido consumir até 59ml de álcool por dia. O programa incentiva também a prática de meditação e ioga, além de exercícios de flexibilidade, resistência e atividades aeróbicas
Amoon Ra/Unsplash8 de 10
Dieta Volumétrica – Criada pela nutricionista Barbara Rolls, a ideia é diminuir a quantidade de caloria das refeições, mas mantendo o volume de alimentos ingeridos. São usados alimentos integrais, frutas e verduras que proporcionam saciedade e as comidas são divididas pela densidade energética
9 de 10
Dieta The Engine 2 Criada para prevenir doenças cardíacas, diabetes, Alzheimer e câncer, é baseada em um cardápio low carb e “forte em plantas”. Segundo Rip Esselstyn, é basicamente uma dieta vegana com um “twist”: aqui não entram óleos vegetais e o objetivo primário não é perder peso, apesar de um aumento na massa muscular ser comum entre os adeptos
iStock10 de 10
Vigilantes do Peso – O programa existe há mais de 50 anos e estabelece uma quantidade de pontos para cada tipo de alimento e uma meta máxima diária para cada pessoa, que pode criar o próprio cardápio dentro das orientações. Além disso, há o incentivo a atividades físicas e encontros entre os participantes para trocar experiências
Ola Mishchenko/Unsplash
Siga a editoria de Saúde e Ciência no Instagram e fique por dentro de tudo sobre o assunto!